Scaling & Polishing

A Scaling procedure at Whiteroot involves a thorough cleaning of the tooth surface to remove plaque buildup using specialised ultrasonic scalers. Scaling is recommended for each individual at least twice a year as it cleans spaces where your toothbrush does not reach. This also allows you to keep a check on your dental health and gives back a fresh breath and clean feel in the mouth.

Scaling & Polishing
Fluoride Therapy

Fluoride Therapy

Fluoride treatment helps prevent cavities and tooth decay and keeps your teeth healthy and strong. At Whiteroot, we recommend a fluoride treatment to every individual, depending on their oral health every six or twelve months as a preventive treatment against decays or cavities. Fluoride coats your teeth and prevents plaque from building up and hardening on the tooth's surface.

Dental Cavities

A decay in the tooth needs to be removed and replaced with a tooth-coloured material at the earliest. If not treated at the right time, the decay might spread to the pulp tissue and result in a subsequent Root Canal treatment.

Dental Cavities
Teeth Whitening Treatment

Laser Teeth Whitening Treatment

Even though your teeth are white naturally, they can change colour over time. This with dyes in them. Smile Brightening treatment whitens discoloured teeth using special diode lasers. Teeth whitening is a simple process that over 90% of dental patients ask for, at Whiteroot we make sure you will see maximum whitening results that are nothing short of dazzling, that too within a 20-minute process.

Smile Design Treatment

At Whiteroot, we provide a personalised cosmetic treatment to provide you with improving the appearance of your smile through dental procedures such as veneers, crowns and teeth whitening. It is recommended for people with a gummy smile, an unattractive smile and discoloured or small tooth.

Smile Design Treatment
Dental Veneers

Dental Veneers

Dental Veneersare a thin layer of tooth-coloured material placed on the facial surface of the tooth. Veneers do not cover the entire tooth like a crown and hence require minimum tooth preparation. Veneers are mainly indicated for aesthetic reasons to discoloured or small teeth.

Dental Implants

A Dental Implant is a titanium root that is surgically positioned into the jawbone beneath the gum line that supports the crown or bridge needed to replace the missing teeth. At Whiteroot, we prefer dental implants as it is a much better option compared to a bridge for missing teeth considering they do not require grinding of the adjacent teeth. Also, they look and feel like natural teeth and in turn boosts an individual's self-esteem and confidence.

Dental Implants
Dental Crowns & Bridges

Dental Crowns & Bridges

Over time, teeth can be damaged, cracked or weakened by decay. At Whiteroot, dental crowns are made to match the colour of your natural teeth, and besides strengthening a week tooth structure, these are also used to improve your teeth’s appearance, shape or alignment. Dental crowns can be fashioned from stainless steel, ceramic, acrylic to zirconia. Zirconia is considered to be one of the strongest materials used to make crowns.

In case the dental restoration requires replacing one or more of the adjacent tooth or implant termed as a Dental Bridge.

Root Canal Treatment

A root canal treatment repairs and saves a badly damaged or infected tooth. When a decay in tooth or an external trauma like fracture reaches the pulp tissue of the tooth, it requires a Root Canal Treatment. The decaying material in the tooth may cause a serious infection or a tooth abscess if left untreated, leading to pulp death, bone loss and loss of the tooth itself.

At Whiteroot, the root canal treatment involves removal of decay, disinfecting the root canals and filling them with an inert material like gutta-percha. Fabrication of a custom made crown for the root canal treated tooth is required to protect it from future bacterial invasion and to improve the strength of the tooth.

Root Canal Treatment
Dentures

Dentures

Dentures are removable prosthetics constructed to replace the missing teeth. They are supported by the soft and hard tissues of the mouth. Due to stress caused by chewing forces on the denture, it causes the underlying bone to resorb with the passage of time and hence fixed prosthesis like crowns or bridges supported by implants are considered a much better option then Dentures.

Orthodontics

Orthodontic treatments deal with the diagnosis, prevention and correction of malpositioned teeth and jaws. Orthodontic treatment can be done at any age, however, an orthodontic evaluation is advisable at an age of 8, as an interceptive treatment can be started off, to reduce the severity of future malformations. In normal cases, comprehensive orthodontic treatment can be commenced at an age of 12, once most of the permanent teeth have erupted

Orthodontics
Aligners(Invisible Braces)

Aligners(Invisible Braces)

As the name suggests, aligners use clear removable trays and are much more custom-made for your teeth to move them little by little. However, they are not advisable for usage to everyone. Aligners can be used to treat mild to moderate corrections

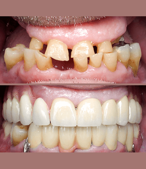
Full Mouth Rehabilitation

Full mouth rehabilitation is a highly individualized treatment performed to optimize the health of the entire mouth including the teeth, gums, and the bite. It involves deployment of various dental services which include implants, bridges and crowns.

People with multiple dental problems and poor oral hygiene are highly recommended to undertake this service

Full Mouth Rehabilitation
Pain Therapy(LLLT)

Pain Therapy(LLLT)

Pain therapy or low-level laser therapy uses light energy to elicit biological responses in the body. It offers tremendous therapeutic benefits such as faster wound healing, nerve regeneration, relaxing muscles & pain relief. It is useful in conditions such as recurrent aphthous ulcers, TM Joint pain, lichen planus, Xerostomia paresthesia and many more oral conditions. It also allows faster healing when used after tooth extraction and improves the osseointegration of dental implants in low-density bones.